Theranostics 2021; 11(14):7126-7127. doi:10.7150/thno.62096 This issue Cite

Erratum

Analysis of the In Vivo and In Vitro Effects of Photodynamic Therapy on Breast Cancer by Using a Sensitizer, Sinoporphyrin Sodium: Erratum

Xiaobing Wang1*, Jianmin Hu1*, Pan Wang1, Shaoliang Zhang2, Yichen Liu1, Wenli Xiong1, Quanhong Liu1 Corresponding address

1. Key Laboratory of Medicinal Resources and Natural Pharmaceutical Chemistry, Ministry of Education, National Engineering Laboratory for Resource Developing of Endangered Chinese Crude Drugs in Northwest of China, College of Life Sciences, Shaanxi Normal University, Xi'an, Shaanxi, People's Republic of China.
2. Qinglong High-Tech Co., Ltd, Yichun, Jiangxi, People's Republic of China
* The authors contributed equally to this work

Published 2021-5-15

Citation:
Wang X, Hu J, Wang P, Zhang S, Liu Y, Xiong W, Liu Q. Analysis of the In Vivo and In Vitro Effects of Photodynamic Therapy on Breast Cancer by Using a Sensitizer, Sinoporphyrin Sodium: Erratum. Theranostics 2021; 11(14):7126-7127. doi:10.7150/thno.62096. https://www.thno.org/v11p7126.htm
Other styles

File import instruction

Corrected-article in Theranostics, Volume 5, 772

 

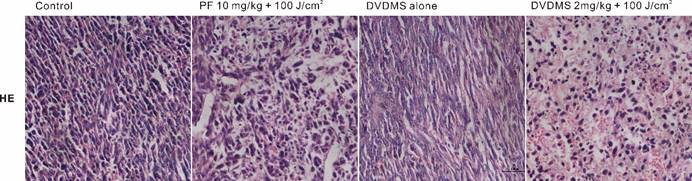
We noticed two errors in the initially published version of this article about the DVDMS alone group in transwell (Fig. 5B) and H&E (Fig. 9 upper part) assays. The correct representative Figures are as follows:

 Fig 5 

B. Analyses of cell migration using a transwell assay.

Theranostics Image
 Fig 9 

Tumor sections were stained with hematoxylin and eosin (HE).

Theranostics Image

The corrections made in this erratum do not affect the original conclusions. The authors apologize for any inconvenience or misunderstanding that this error may have caused.

References

1. Wang X, Hu J, Wang P, Zhang S, Liu Y, Xiong W, Liu Q. Analysis of the in vivo and in vitro effects of photodynamic therapy on breast cancer by using a sensitizer, sinoporphyrin sodium. Theranostics. 2015;5(7):772-86 doi: 10.7150/thno.10853

Author contact

Corresponding address Corresponding authors: Quanhong Liu, Tel: 029-85310275 Email: lshaofedu.cn


Citation styles

APA
Wang, X., Hu, J., Wang, P., Zhang, S., Liu, Y., Xiong, W., Liu, Q. (2021). Analysis of the In Vivo and In Vitro Effects of Photodynamic Therapy on Breast Cancer by Using a Sensitizer, Sinoporphyrin Sodium: Erratum. Theranostics, 11(14), 7126-7127. https://doi.org/10.7150/thno.62096.

ACS
Wang, X.; Hu, J.; Wang, P.; Zhang, S.; Liu, Y.; Xiong, W.; Liu, Q. Analysis of the In Vivo and In Vitro Effects of Photodynamic Therapy on Breast Cancer by Using a Sensitizer, Sinoporphyrin Sodium: Erratum. Theranostics 2021, 11 (14), 7126-7127. DOI: 10.7150/thno.62096.

NLM
Wang X, Hu J, Wang P, Zhang S, Liu Y, Xiong W, Liu Q. Analysis of the In Vivo and In Vitro Effects of Photodynamic Therapy on Breast Cancer by Using a Sensitizer, Sinoporphyrin Sodium: Erratum. Theranostics 2021; 11(14):7126-7127. doi:10.7150/thno.62096. https://www.thno.org/v11p7126.htm

CSE
Wang X, Hu J, Wang P, Zhang S, Liu Y, Xiong W, Liu Q. 2021. Analysis of the In Vivo and In Vitro Effects of Photodynamic Therapy on Breast Cancer by Using a Sensitizer, Sinoporphyrin Sodium: Erratum. Theranostics. 11(14):7126-7127.

This is an open access article distributed under the terms of the Creative Commons Attribution License (https://creativecommons.org/licenses/by/4.0/). See http://ivyspring.com/terms for full terms and conditions.
Popup Image