Theranostics 2020; 10(5):2399-2400. doi:10.7150/thno.42847 This issue Cite

Erratum

pH-Sensitive Nano-Complexes Overcome Drug Resistance and Inhibit Metastasis of Breast Cancer by Silencing Akt Expression: Erratum

Jieying Yin1,2*, Tianqun Lang1,3*, Dongmei Cun2, Zhong Zheng1, Yan Huang1,2, Qi Yin1 Corresponding address, Haijun Yu1, Yaping Li1 Corresponding address

1. State Key Laboratory of Drug Research & Center of Pharmaceutics, Shanghai Institute of Materia Medica, Chinese Academy of Sciences, Shanghai 201203, China;
2. School of Pharmacy, Shenyang Pharmaceutical University, Shenyang 110016, China;
3. University of Chinese Academy of Sciences, Beijing 100049, China.
* These authors contributed equally to this work.

Published 2020-1-18

Citation:
Yin J, Lang T, Cun D, Zheng Z, Huang Y, Yin Q, Yu H, Li Y. pH-Sensitive Nano-Complexes Overcome Drug Resistance and Inhibit Metastasis of Breast Cancer by Silencing Akt Expression: Erratum. Theranostics 2020; 10(5):2399-2400. doi:10.7150/thno.42847. https://www.thno.org/v10p2399.htm
Other styles

File import instruction

Corrected-article in Theranostics, Volume 7, 4204

 

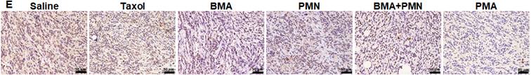
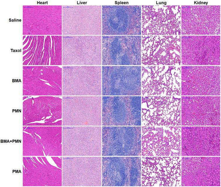
In the initially published version of this article, the IHC image of the Akt expression of the PMA group in Figure 7E and the lung image of the BMA+PMN group in Figure 9 are wrong. The correct Figure 7E and Figure 9 are as follows:

 Figure 7 

(E) The Akt expression of tumor sections analyzed by IHC. (Scale bar: 50 μm)

Theranostics Image
 Figure 9 

Histopathological analysis in healthy mice following treatment with multiple doses of various formulations. H&E staining images of tissue sections from the mice treated with Saline, Taxol, BMA, PMN, BMA+PMN, and PMA. (Scale bar: 200 μm)

Theranostics Image

The corrections made in this erratum do not affect the original conclusions. The authors apologize for any inconvenience or misunderstanding that this error may have caused.

References

1. Yin J, Lang T, Cun D, Zheng Z, Huang Y, Yin Q, Yu H, Li Y. pH-Sensitive Nano-Complexes Overcome Drug Resistance and Inhibit Metastasis of Breast Cancer by Silencing Akt Expression. Theranostics. 2017;7(17):4204-4216 doi:10.7150/thno.21516

Author contact

Corresponding address Corresponding authors: Dr Qi Yin (qyinac.cn) and Prof. Yaping Li (ypliac.cn), 501 Haike Road, Shanghai 201203, China Tel/Fax: +86-21-2023-1979


Citation styles

APA
Yin, J., Lang, T., Cun, D., Zheng, Z., Huang, Y., Yin, Q., Yu, H., Li, Y. (2020). pH-Sensitive Nano-Complexes Overcome Drug Resistance and Inhibit Metastasis of Breast Cancer by Silencing Akt Expression: Erratum. Theranostics, 10(5), 2399-2400. https://doi.org/10.7150/thno.42847.

ACS
Yin, J.; Lang, T.; Cun, D.; Zheng, Z.; Huang, Y.; Yin, Q.; Yu, H.; Li, Y. pH-Sensitive Nano-Complexes Overcome Drug Resistance and Inhibit Metastasis of Breast Cancer by Silencing Akt Expression: Erratum. Theranostics 2020, 10 (5), 2399-2400. DOI: 10.7150/thno.42847.

NLM
Yin J, Lang T, Cun D, Zheng Z, Huang Y, Yin Q, Yu H, Li Y. pH-Sensitive Nano-Complexes Overcome Drug Resistance and Inhibit Metastasis of Breast Cancer by Silencing Akt Expression: Erratum. Theranostics 2020; 10(5):2399-2400. doi:10.7150/thno.42847. https://www.thno.org/v10p2399.htm

CSE
Yin J, Lang T, Cun D, Zheng Z, Huang Y, Yin Q, Yu H, Li Y. 2020. pH-Sensitive Nano-Complexes Overcome Drug Resistance and Inhibit Metastasis of Breast Cancer by Silencing Akt Expression: Erratum. Theranostics. 10(5):2399-2400.

This is an open access article distributed under the terms of the Creative Commons Attribution License (https://creativecommons.org/licenses/by/4.0/). See http://ivyspring.com/terms for full terms and conditions.
Popup Image