Theranostics 2023; 13(13):4391. doi:10.7150/thno.86780 This issue Cite

Erratum

βKlotho is identified as a target for theranostics in non-small cell lung cancer: Erratum

Fan Li1, Xiyao Li1, Ziming Li2, Wenxiang Ji2, Shun Lu2, Weiliang Xia1 Corresponding address

1. State Key Laboratory of Oncogenes and Related Genes, Renji-Med X Clinical Stem Cell Research Center, Ren Ji Hospital, School of Medicine and School of Biomedical Engineering, Shanghai Jiao Tong University, Shanghai, China
2. Shanghai Lung Cancer Center, Shanghai Chest Hospital, Shanghai Jiao Tong University, Shanghai, China

Published 2023-8-6

Citation:
Li F, Li X, Li Z, Ji W, Lu S, Xia W. βKlotho is identified as a target for theranostics in non-small cell lung cancer: Erratum. Theranostics 2023; 13(13):4391. doi:10.7150/thno.86780. https://www.thno.org/v13p4391.htm
Other styles

File import instruction

Corrected-article in Theranostics, Volume 9, 7474

 

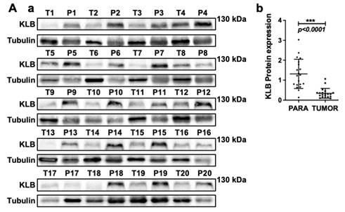
The second Tubulin band in Figure 1A a was inadvertently misplaced. The correct figures are shown below in Figure 1A a. We conducted the quantitative analysis of the bands, as shown in new Figure 1A b.

 Figure 1 

Correct Figure 1A.

Theranostics Image

The corrected figures do not affect the original conclusions of the findings. The authors sincerely apologize for any inconvenience these errors may have caused.

Author contact

Corresponding address Corresponding author: Weiliang Xia, PhD, School of Biomedical Engineering and Med-X Research Institute, Shanghai Jiao Tong University, 1954 Huashan Road, Shanghai, 200030, China. Phone: +86-21-62933351; Mobil: +86-13585887951. E-mail: wlxiaedu.cn


Citation styles

APA
Li, F., Li, X., Li, Z., Ji, W., Lu, S., Xia, W. (2023). βKlotho is identified as a target for theranostics in non-small cell lung cancer: Erratum. Theranostics, 13(13), 4391. https://doi.org/10.7150/thno.86780.

ACS
Li, F.; Li, X.; Li, Z.; Ji, W.; Lu, S.; Xia, W. βKlotho is identified as a target for theranostics in non-small cell lung cancer: Erratum. Theranostics 2023, 13 (13), 4391. DOI: 10.7150/thno.86780.

NLM
Li F, Li X, Li Z, Ji W, Lu S, Xia W. βKlotho is identified as a target for theranostics in non-small cell lung cancer: Erratum. Theranostics 2023; 13(13):4391. doi:10.7150/thno.86780. https://www.thno.org/v13p4391.htm

CSE
Li F, Li X, Li Z, Ji W, Lu S, Xia W. 2023. βKlotho is identified as a target for theranostics in non-small cell lung cancer: Erratum. Theranostics. 13(13):4391.

This is an open access article distributed under the terms of the Creative Commons Attribution License (https://creativecommons.org/licenses/by/4.0/). See http://ivyspring.com/terms for full terms and conditions.
Popup Image