Theranostics 2023; 13(4):1419-1420. doi:10.7150/thno.82539 This issue Cite

Erratum

Twist1 downregulation of PGC-1α decreases fatty acid oxidation in tubular epithelial cells, leading to kidney fibrosis: Erratum

Limin Liu1,2*, Xiaoxuan Ning3*, Lei Wei1*, Ying Zhou1, Lijuan Zhao1, Feng Ma1, Ming Bai1, Xiaoxia Yang1, Di Wang1, Shiren Sun1 Corresponding address

1. Department of Nephrology, Xijing Hospital, Fourth Military Medical University, No. 127 Chang le West Road, Xi'an, Shaanxi, 710032, China.
2. School of Medicine, Northwest University, 229 Taibai North Road, Xi'an, Shaanxi, 710069, China.
3. Department of Geriatrics, Xijing Hospital, Fourth Military Medical University, No. 127 Chang le West Road, Xi'an, Shaanxi, 710032, China.
*These authors contributed equally to this work.

Published 2023-2-22

Citation:
Liu L, Ning X, Wei L, Zhou Y, Zhao L, Ma F, Bai M, Yang X, Wang D, Sun S. Twist1 downregulation of PGC-1α decreases fatty acid oxidation in tubular epithelial cells, leading to kidney fibrosis: Erratum. Theranostics 2023; 13(4):1419-1420. doi:10.7150/thno.82539. https://www.thno.org/v13p1419.htm
Other styles

File import instruction

Corrected-article in Theranostics, Volume 12, 3758

 

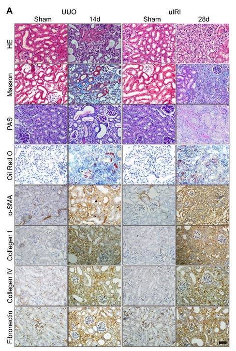
The authors regret that the original version of our paper, unfortunately, contained two incorrect pictures in Figure 2A, where the images for the H&E and Masson staining pictures of the uIRI Sham were incorrect. The correct version of Figure 2A is shown below.

The correction made in this erratum does not affect the original data and conclusions. The authors apologize for any inconvenience that the errors may have caused.

 Figure 2 

Corrected figure for original Figure 2A.

Theranostics Image

Author contact

Corresponding address Corresponding author: Shiren Sun (E-mail: sunshirencom.cn).


Citation styles

APA
Liu, L., Ning, X., Wei, L., Zhou, Y., Zhao, L., Ma, F., Bai, M., Yang, X., Wang, D., Sun, S. (2023). Twist1 downregulation of PGC-1α decreases fatty acid oxidation in tubular epithelial cells, leading to kidney fibrosis: Erratum. Theranostics, 13(4), 1419-1420. https://doi.org/10.7150/thno.82539.

ACS
Liu, L.; Ning, X.; Wei, L.; Zhou, Y.; Zhao, L.; Ma, F.; Bai, M.; Yang, X.; Wang, D.; Sun, S. Twist1 downregulation of PGC-1α decreases fatty acid oxidation in tubular epithelial cells, leading to kidney fibrosis: Erratum. Theranostics 2023, 13 (4), 1419-1420. DOI: 10.7150/thno.82539.

NLM
Liu L, Ning X, Wei L, Zhou Y, Zhao L, Ma F, Bai M, Yang X, Wang D, Sun S. Twist1 downregulation of PGC-1α decreases fatty acid oxidation in tubular epithelial cells, leading to kidney fibrosis: Erratum. Theranostics 2023; 13(4):1419-1420. doi:10.7150/thno.82539. https://www.thno.org/v13p1419.htm

CSE
Liu L, Ning X, Wei L, Zhou Y, Zhao L, Ma F, Bai M, Yang X, Wang D, Sun S. 2023. Twist1 downregulation of PGC-1α decreases fatty acid oxidation in tubular epithelial cells, leading to kidney fibrosis: Erratum. Theranostics. 13(4):1419-1420.

This is an open access article distributed under the terms of the Creative Commons Attribution License (https://creativecommons.org/licenses/by/4.0/). See http://ivyspring.com/terms for full terms and conditions.
Popup Image