Theranostics 2022; 12(1):419-420. doi:10.7150/thno.68810 This issue Cite

Erratum

Inhibition of SMYD2 suppresses tumor progression by down-regulating microRNA-125b and attenuates multi-drug resistance in renal cell carcinoma: Erratum

Libin Yan1,2*, Beichen Ding1,3*, Haoran Liu1,2, Yangjun Zhang1,2, Jin Zeng1,2, Junhui Hu1,2, Weimin Yao1,2, Gan Yu1,2, Ruihua An3, Zhiqiang Chen1,2, Zhangqun Ye1,2, Jinchun Xing4, Kefeng Xiao5, Lily Wu6, Hua Xu1,2 Corresponding address

1. Department of Urology, Tongji Hospital, Tongji Medical College, Huazhong University of Science and Technology, Wuhan, China;
2. Institute of Urology of Hubei Province, Wuhan, China
3. Department of Urinary Surgery, First Affiliated Hospital of Harbin Medical University, Harbin, Heilongjiang, China.
4. Department of Urology, The First Affiliated Hospital of Xiamen University, Xiamen, China.
5. Department of Urology, The People's Hospital of Shenzhen City, Shenzhen, China.
6. Department of Molecular and Medical Pharmacology, David Geffen School of Medicine, University of California at Los Angeles, Los Angeles, USA
*These authors have contributed equally to this work

Published 2022-1-1

Citation:
Yan L, Ding B, Liu H, Zhang Y, Zeng J, Hu J, Yao W, Yu G, An R, Chen Z, Ye Z, Xing J, Xiao K, Wu L, Xu H. Inhibition of SMYD2 suppresses tumor progression by down-regulating microRNA-125b and attenuates multi-drug resistance in renal cell carcinoma: Erratum. Theranostics 2022; 12(1):419-420. doi:10.7150/thno.68810. https://www.thno.org/v12p0419.htm
Other styles

File import instruction

Corrected-article in Theranostics, Volume 9, 8377

 

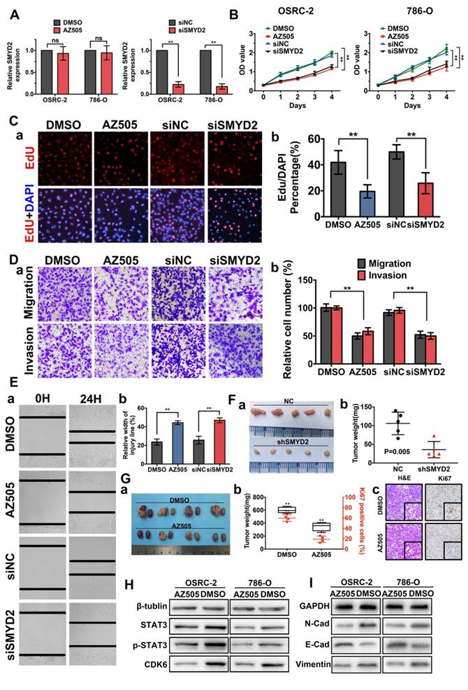
The authors regret that the original version of our paper unfortunately contained some incorrect representative images. The EdU images of AZ505 groups in Figure 2Ca and the invasion image of siSMYD2 in Figure 2Da have been misused during figure assembly. The correct version of the Figure 2 appears below.

 Figure 2 

Inhibition of SMYD2 suppressed cell proliferation, migration, and invasion in vitro and in vivo. (A) Relative SMYD2 expression levels after treatment with AZ505 or siSMYD2 are shown. SMYD2-specific siRNA significantly inhibited SMYD2 expression in OSRC-2 and 786-O cells, while AZ505 showed no effect on SMYD2 expression. (B) MTS assays were performed to construct the growth curves of the indicated cells. **, P < 0.01. (C) Representative micrographs (a) and quantification (b) of EdU-incorporated cells of the indicated cell lines. ** P < 0.01. (D) Migration and invasion (Transwell) assays for the indicated renal cancer cells. a, Representative photographs were taken at ×200 magnification. b, The numbers of migrated and invaded cells were quantified in five random images from each group. **, P < 0.01. (E) Would-healing assays indicated that AZ505 treatment and SMYD2 knockdown suppressed renal cancer cell migration. Micrographs (a) and the statistic relative width of the injury lines (b) are shown from three independent experiments, **, P < 0.01. (F) Subcutaneous xenograft mouse models were established to validate the effects of siSMYD2 in vivo. Tumor development was significantly suppressed by siSMYD2, P = 0.005. (G) a. The in vivo orthotopic xenograft model shows the tumors from the mice in the AZ505-treatment group or DMSO (control)-treatment group; b. Box plot for the average tumor weight (black) and Ki67 expression (red) of tumor samples from the two groups. Tumor weight was evaluated by subtracting the weight of the kidney without injection from the weight of the kidney with injection; c. H&E staining and Ki67 IHC staining of tumors from mice in the two groups. (H) & (I) Influence of SMYD2 on the expression of cell proliferation- and EMT-related proteins was tested by western blotting.

Theranostics Image

The authors confirm that the corrections made in this erratum do not affect the original conclusions. The authors apologize for any inconvenience or misunderstanding that the errors may have caused.

Author contact

Corresponding address Corresponding author: Hua Xu, Department of Urology, Tongji Hospital, Tongji Medical College, Huazhong University of Science and Technology, Wuhan, China.


Citation styles

APA
Yan, L., Ding, B., Liu, H., Zhang, Y., Zeng, J., Hu, J., Yao, W., Yu, G., An, R., Chen, Z., Ye, Z., Xing, J., Xiao, K., Wu, L., Xu, H. (2022). Inhibition of SMYD2 suppresses tumor progression by down-regulating microRNA-125b and attenuates multi-drug resistance in renal cell carcinoma: Erratum. Theranostics, 12(1), 419-420. https://doi.org/10.7150/thno.68810.

ACS
Yan, L.; Ding, B.; Liu, H.; Zhang, Y.; Zeng, J.; Hu, J.; Yao, W.; Yu, G.; An, R.; Chen, Z.; Ye, Z.; Xing, J.; Xiao, K.; Wu, L.; Xu, H. Inhibition of SMYD2 suppresses tumor progression by down-regulating microRNA-125b and attenuates multi-drug resistance in renal cell carcinoma: Erratum. Theranostics 2022, 12 (1), 419-420. DOI: 10.7150/thno.68810.

NLM
Yan L, Ding B, Liu H, Zhang Y, Zeng J, Hu J, Yao W, Yu G, An R, Chen Z, Ye Z, Xing J, Xiao K, Wu L, Xu H. Inhibition of SMYD2 suppresses tumor progression by down-regulating microRNA-125b and attenuates multi-drug resistance in renal cell carcinoma: Erratum. Theranostics 2022; 12(1):419-420. doi:10.7150/thno.68810. https://www.thno.org/v12p0419.htm

CSE
Yan L, Ding B, Liu H, Zhang Y, Zeng J, Hu J, Yao W, Yu G, An R, Chen Z, Ye Z, Xing J, Xiao K, Wu L, Xu H. 2022. Inhibition of SMYD2 suppresses tumor progression by down-regulating microRNA-125b and attenuates multi-drug resistance in renal cell carcinoma: Erratum. Theranostics. 12(1):419-420.

This is an open access article distributed under the terms of the Creative Commons Attribution License (https://creativecommons.org/licenses/by/4.0/). See http://ivyspring.com/terms for full terms and conditions.
Popup Image