Theranostics 2021; 11(8):3961-3962. doi:10.7150/thno.58328 This issue Cite

Erratum

LncRNA PFL contributes to cardiac fibrosis by acting as a competing endogenous RNA of let-7d: Erratum

Haihai Liang1,2#, Zhenwei Pan1#, Xiaoguang Zhao1,2, Li Liu1,2, Jian Sun1,2, Xiaomin Su1,2, Chaoqian Xu1, Yuhong Zhou1,2, Dandan Zhao1, Bozhi Xu1, Xuelian Li1, Baofeng Yang1,2, Yanjie Lu1,2, Corresponding address, Hongli Shan1,2, Corresponding address

1. Department of Pharmacology (State-Province Key Laboratories of Biomedicine-Pharmaceutics of China, Key Laboratory of Cardiovascular Research, Ministry of Education), College of Pharmacy, Harbin Medical University, Harbin, Heilongjiang 150081, P. R. China
2. Northern Translational Medicine Research and Cooperation Center, Heilongjiang Academy of Medical Sciences, Harbin Medical University, Harbin, Heilongjiang 150081, P. R. China.
#Authors with equal contribution to this study

Published 2021-2-9

Citation:
Liang H, Pan Z, Zhao X, Liu L, Sun J, Su X, Xu C, Zhou Y, Zhao D, Xu B, Li X, Yang B, Lu Y, Shan H. LncRNA PFL contributes to cardiac fibrosis by acting as a competing endogenous RNA of let-7d: Erratum. Theranostics 2021; 11(8):3961-3962. doi:10.7150/thno.58328. https://www.thno.org/v11p3961.htm
Other styles

File import instruction

Corrected-article in Theranostics, Volume 8, 1180

 

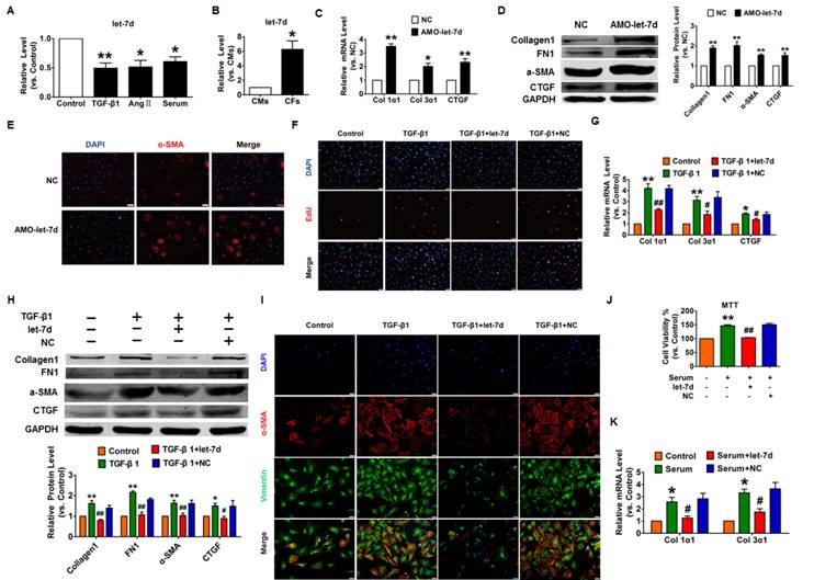
In our paper [1], the images of TGF-β1+let-7d groups in Figure 7I have misused that of the Control group. The correct version of the figure appears below.

 Figure 7 

Overexpression of let-7d abrogated fibrogenesis in CFs. (A) Decreased expression of let-7d in CFs pretreated with TGF-β1, Ang II or serum. *p<0.05 and **p<0.01 vs. control; (B) Expression of let-7d in CMs and CFs. *p<0.05 vs. CMs. Inhibition of let-7d increased collagen 1α1 and collagen 3α1 mRNA expression (C) and promoted fibrogenesis (D) in CFs. *p<0.05 and **p<0.01 vs. NC. (E) Representative immunofluorescence images showing that suppression of let-7d promoted the transition of fibroblasts into myofibroblasts. Overexpression of let-7d mitigated TGF-β1-induced cell proliferation (F), collagen production (G), fibrogenesis (H) and the fibroblast-myofibroblast transition (I). *p<0.05 and **p<0.01 vs. control; #p<0.05 and ##p<0.01 vs. TGF-β1. Forced expression of let-7d alleviated 20% serum-driven proliferation (J) and fibrogenesis (K) in CFs. *p<0.05 and **p<0.01 vs. control; #p<0.05 and ##p<0.01 vs. serum. n=5-6 independent cell cultures.

Theranostics Image

The corrections made in this erratum do not affect the original conclusions. The authors apologize for any inconvenience or misunderstanding that this error may have caused.

References

1. Liang HH, Pan ZW, Zhao XG, Liu L, Sun J, Su XM. et al. LncRNA PFL contributes to cardiac fibrosis by acting as a competing endogenous RNA of let-7d. Theranostics. 2018;8(4):1180-1194

Author contact

Corresponding address Corresponding author: Prof. Hongli Shan (e-mail: shanhonglihrbmu.edu.cn) and Prof. Yanjie Lu (e-mail: yjlu2008com). Baojian Road 157, Harbin, Heilongjiang 150081, P. R. China. Fax: 86 451 86667511; Tel: 86 451 86671354


Citation styles

APA
Liang, H., Pan, Z., Zhao, X., Liu, L., Sun, J., Su, X., Xu, C., Zhou, Y., Zhao, D., Xu, B., Li, X., Yang, B., Lu, Y., Shan, H. (2021). LncRNA PFL contributes to cardiac fibrosis by acting as a competing endogenous RNA of let-7d: Erratum. Theranostics, 11(8), 3961-3962. https://doi.org/10.7150/thno.58328.

ACS
Liang, H.; Pan, Z.; Zhao, X.; Liu, L.; Sun, J.; Su, X.; Xu, C.; Zhou, Y.; Zhao, D.; Xu, B.; Li, X.; Yang, B.; Lu, Y.; Shan, H. LncRNA PFL contributes to cardiac fibrosis by acting as a competing endogenous RNA of let-7d: Erratum. Theranostics 2021, 11 (8), 3961-3962. DOI: 10.7150/thno.58328.

NLM
Liang H, Pan Z, Zhao X, Liu L, Sun J, Su X, Xu C, Zhou Y, Zhao D, Xu B, Li X, Yang B, Lu Y, Shan H. LncRNA PFL contributes to cardiac fibrosis by acting as a competing endogenous RNA of let-7d: Erratum. Theranostics 2021; 11(8):3961-3962. doi:10.7150/thno.58328. https://www.thno.org/v11p3961.htm

CSE
Liang H, Pan Z, Zhao X, Liu L, Sun J, Su X, Xu C, Zhou Y, Zhao D, Xu B, Li X, Yang B, Lu Y, Shan H. 2021. LncRNA PFL contributes to cardiac fibrosis by acting as a competing endogenous RNA of let-7d: Erratum. Theranostics. 11(8):3961-3962.

This is an open access article distributed under the terms of the Creative Commons Attribution License (https://creativecommons.org/licenses/by/4.0/). See http://ivyspring.com/terms for full terms and conditions.
Popup Image