Theranostics 2021; 11(5):2077-2078. doi:10.7150/thno.56462 This issue Cite

Erratum

Twist promotes tumor metastasis in basal-like breast cancer by transcriptionally upregulating ROR1: Erratum

Jingying Cao1,2,3, Xin Wang1, Tao Dai4, Yuanzhong Wu1, Meifang Zhang1, Renxian Cao5, Ruhua Zhang1, Gang Wang1, Rou Jiang1, Binhua P. Zhou1,2, Jian Shi6 Corresponding address, Tiebang Kang1 Corresponding address

1. State Key Laboratory of Oncology in South China, Collaborative Innovation Center for Cancer Medicine, Sun Yat-Sen University Cancer Center, Guangzhou 510060, P. R. China.
2. Markey Cancer Center, The University of Kentucky, College of Medicine, Lexington, Kentucky 40506, USA.
3. Department of Medicine Clinical Laboratory, The Third Xiangya Hospital of Central South University, Changsha, 410013, P. R. China.
4. Department of Urology, The Affiliated Cancer Hospital of Xiangya School of Medicine of Central South University, Hunan Cancer Hospital, Changsha, 410013, P. R. China.
5. Institute of Clinical Medicine, the First Affiliated Hospital of University of South China, Hengyang, P. R. China.
6. Department of Pathology, School of Basic Medical Science; Guangdong Province Key Laboratory of Molecular Tumor Pathology, Southern Medical University, Guangzhou 510515, China

Published 2021-1-1

Citation:
Cao J, Wang X, Dai T, Wu Y, Zhang M, Cao R, Zhang R, Wang G, Jiang R, Zhou BP, Shi J, Kang T. Twist promotes tumor metastasis in basal-like breast cancer by transcriptionally upregulating ROR1: Erratum. Theranostics 2021; 11(5):2077-2078. doi:10.7150/thno.56462. https://www.thno.org/v11p2077.htm
Other styles

File import instruction

Corrected-article in Theranostics, Volume 8, 2739

 

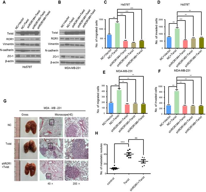
We noticed an error in Figure 4G, where the HE (200 x) for shROR1+Twist was misplaced with the same HE picture for Twist. The figure with the error corrected is shown below. The correction made in this erratum does not affect the original conclusions or any part of the text and figure legends. The authors wish to apologize for any inconvenience or misunderstanding that this error may have caused.

 Figure 4 

The promotion of cell migration, invasion and cancer metastasis after Twist overexpression primarily depends on ROR1. (A-B) The indicated molecules were analyzed by Western blot in the Hs578T and MDA-MB-231 cells stably expressing control, ROR1 shRNA, Twist, or both, as indicated. (C-F) Cell migration and invasion were determined in the indicated stable cell lines. The results are expressed as the mean ± SD of three independent experiments. * P < 0.05, ** P < 0.01 and *** P < 0.001 using Student's t-test. (G-H) An in vivo lung metastasis model was established in nude mice using MDA-MB-231 cells stably expressing control, ROR1 shRNA, Twist, or both, as indicated. (G) Representative results of gross and H&E staining (middle scale: 40×; right scale: 200×) of metastatic lung nodules. Scale bars, 40×,500μm; 200×,100μm. (H) Illustration of the statistical results (n = 6). The results are expressed as the mean ± SD. * P < 0.05, *** P < 0.001 using Student's t-test.

Theranostics Image

Author contact

Corresponding address Corresponding authors: Tel.: +86 20 87343182; fax: +86 20 87343170. Email address: jianshismucom (J. Shi) or kangtborg.cn (T. Kang).


Citation styles

APA
Cao, J., Wang, X., Dai, T., Wu, Y., Zhang, M., Cao, R., Zhang, R., Wang, G., Jiang, R., Zhou, B.P., Shi, J., Kang, T. (2021). Twist promotes tumor metastasis in basal-like breast cancer by transcriptionally upregulating ROR1: Erratum. Theranostics, 11(5), 2077-2078. https://doi.org/10.7150/thno.56462.

ACS
Cao, J.; Wang, X.; Dai, T.; Wu, Y.; Zhang, M.; Cao, R.; Zhang, R.; Wang, G.; Jiang, R.; Zhou, B.P.; Shi, J.; Kang, T. Twist promotes tumor metastasis in basal-like breast cancer by transcriptionally upregulating ROR1: Erratum. Theranostics 2021, 11 (5), 2077-2078. DOI: 10.7150/thno.56462.

NLM
Cao J, Wang X, Dai T, Wu Y, Zhang M, Cao R, Zhang R, Wang G, Jiang R, Zhou BP, Shi J, Kang T. Twist promotes tumor metastasis in basal-like breast cancer by transcriptionally upregulating ROR1: Erratum. Theranostics 2021; 11(5):2077-2078. doi:10.7150/thno.56462. https://www.thno.org/v11p2077.htm

CSE
Cao J, Wang X, Dai T, Wu Y, Zhang M, Cao R, Zhang R, Wang G, Jiang R, Zhou BP, Shi J, Kang T. 2021. Twist promotes tumor metastasis in basal-like breast cancer by transcriptionally upregulating ROR1: Erratum. Theranostics. 11(5):2077-2078.

This is an open access article distributed under the terms of the Creative Commons Attribution License (https://creativecommons.org/licenses/by/4.0/). See http://ivyspring.com/terms for full terms and conditions.
Popup Image