Theranostics 2021; 11(20):10171-10172. doi:10.7150/thno.68023 This issue Cite

Erratum

LAMA4 upregulation is associated with high liver metastasis potential and poor survival outcome of Pancreatic Cancer: Erratum

Biao Zheng1,2*, Jianhua Qu3*, Kenoki Ohuchida2,4 Corresponding address, Haimin Feng2, Stephen Jun Fei Chong3, Zilong Yan5, Yicui Piao6, Peng Liu1, Nan Sheng2, Daiki Eguchi2, Takao Ohtsuka2, Kazuhiro Mizumoto2,7, Zhong Liu1, Shazib Pervaiz3,8,9, Peng Gong1,10 Corresponding address, Masafumi Nakamura2 Corresponding address

1. Department of General Surgery, Shenzhen University General Hospital / Shenzhen University Clinical Medical Academy, Shenzhen, Guangdong 518055, China.
2. Department of Surgery and Oncology, Graduate School of Medical Sciences, Kyushu University, Fukuoka 812-8582, Japan.
3. Department of Physiology, Yong Loo Lin School of Medicine, National University of Singapore (NUS), Singapore 117593.
4. Advanced Medical Initiatives, Graduate School of Medical Sciences, Kyushu University, Fukuoka 812-8582, Japan.
5. Hepato-pancreato-biliary Surgery Department, Peking University Shenzhen Hospital, Shenzhen, Guangdong 518055, China.
6. Department of Critical Care Medicine, National Cancer Center/Cancer Hospital & Shenzhen Hospital, Chinese Academy of Medical Sciences and Peking Union Medical College, Shenzhen, Guangdong 518116, China.
7. Cancer Center of Kyushu University Hospital, Fukuoka 812-8582, Japan.
8. NUS Graduate School for Integrative Sciences and Engineering, National University of Singapore, Singapore 117593.
9. National University Cancer Institute, National University Health System, Singapore 119074.
10. Carson International Cancer Research Centre, Shenzhen University School of Medicine, Shenzhen, Guangdong 518055, China.
*These authors contributed equally to this article.

Published 2021-11-10

Citation:
Zheng B, Qu J, Ohuchida K, Feng H, Chong SJF, Yan Z, Piao Y, Liu P, Sheng N, Eguchi D, Ohtsuka T, Mizumoto K, Liu Z, Pervaiz S, Gong P, Nakamura M. LAMA4 upregulation is associated with high liver metastasis potential and poor survival outcome of Pancreatic Cancer: Erratum. Theranostics 2021; 11(20):10171-10172. doi:10.7150/thno.68023. https://www.thno.org/v11p10171.htm
Other styles

File import instruction

Corrected-article in Theranostics, Volume 10, 10274

 

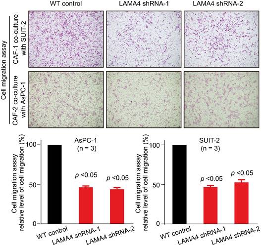
In the original Figure 6C of our article [1], we mistakenly repeatedly used the LAMA4 shRNA-1 knockdown figure (Figure 6C, bottom middle) as the LAMA4 shRNA-2 knockdown figure (Figure 6C, bottom right) in the cell migration assay of CAFs. The Figure 6C should be corrected as follows. The figure corrected in this erratum does not influence any original conclusions in our study. We apologize for any inconvenience or misunderstanding that this error may have caused.

 Figure 6 

C. Cell migration assay of CAFs was performed after non-contact co-culture with either WT pancreatic cancer cells or pancreatic cancer cells subjected to LAMA4 knockdown.

Theranostics Image

References

1. Zheng B, Qu J, Ohuchida K, Feng H, Chong SJF, Yan Z, Piao Y, Liu P, Sheng N, Eguchi D, Ohtsuka T, Mizumoto K, Liu Z, Pervaiz S, Gong P, Nakamura M. LAMA4 upregulation is associated with high liver metastasis potential and poor survival outcome of Pancreatic Cancer. Theranostics. 2020;10(22):10274-10289 doi:10.7150/thno.47001

Author contact

Corresponding address Corresponding authors: Kenoki Ohuchida, Department of Surgery and Oncology, Graduate School of Medical Sciences, Kyushu University, 3-1-1 Maidashi, Fukuoka 812-8582, Japan. E-mail: kenokimed.kyushu-u.ac.jp; Peng Gong, Department of General Surgery, Shenzhen University General Hospital/Shenzhen University Clinical Medical Academy, 1098 Xueyuan Road, Shenzhen, Guangdong 518055, China. E-mail: doctorgongpengedu.cn; Masafumi Nakamura, Department of Surgery and Oncology, Graduate School of Medical Sciences, Kyushu University, 3-1-1 Maidashi, Fukuoka 812-8582, Japan. E-mail: mnakamed.kyushu-u.ac.jp.


Citation styles

APA
Zheng, B., Qu, J., Ohuchida, K., Feng, H., Chong, S.J.F., Yan, Z., Piao, Y., Liu, P., Sheng, N., Eguchi, D., Ohtsuka, T., Mizumoto, K., Liu, Z., Pervaiz, S., Gong, P., Nakamura, M. (2021). LAMA4 upregulation is associated with high liver metastasis potential and poor survival outcome of Pancreatic Cancer: Erratum. Theranostics, 11(20), 10171-10172. https://doi.org/10.7150/thno.68023.

ACS
Zheng, B.; Qu, J.; Ohuchida, K.; Feng, H.; Chong, S.J.F.; Yan, Z.; Piao, Y.; Liu, P.; Sheng, N.; Eguchi, D.; Ohtsuka, T.; Mizumoto, K.; Liu, Z.; Pervaiz, S.; Gong, P.; Nakamura, M. LAMA4 upregulation is associated with high liver metastasis potential and poor survival outcome of Pancreatic Cancer: Erratum. Theranostics 2021, 11 (20), 10171-10172. DOI: 10.7150/thno.68023.

NLM
Zheng B, Qu J, Ohuchida K, Feng H, Chong SJF, Yan Z, Piao Y, Liu P, Sheng N, Eguchi D, Ohtsuka T, Mizumoto K, Liu Z, Pervaiz S, Gong P, Nakamura M. LAMA4 upregulation is associated with high liver metastasis potential and poor survival outcome of Pancreatic Cancer: Erratum. Theranostics 2021; 11(20):10171-10172. doi:10.7150/thno.68023. https://www.thno.org/v11p10171.htm

CSE
Zheng B, Qu J, Ohuchida K, Feng H, Chong SJF, Yan Z, Piao Y, Liu P, Sheng N, Eguchi D, Ohtsuka T, Mizumoto K, Liu Z, Pervaiz S, Gong P, Nakamura M. 2021. LAMA4 upregulation is associated with high liver metastasis potential and poor survival outcome of Pancreatic Cancer: Erratum. Theranostics. 11(20):10171-10172.

This is an open access article distributed under the terms of the Creative Commons Attribution License (https://creativecommons.org/licenses/by/4.0/). See http://ivyspring.com/terms for full terms and conditions.
Popup Image