Theranostics 2017; 7(3):559-560. doi:10.7150/thno.18728 This issue Cite

Erratum

Active Tumor Permeation and Uptake of Surface Charge-Switchable Theranostic Nanoparticles for Imaging-Guided Photothermal/Chemo Combinatorial Therapy: Erratum

Chia-Chian Hung1, Wen-Chia Huang1, Yi-Wen Lin1, Ting-Wei Yu1, Hsin-Hung Chen2, Sung-Chyr Lin2, Wen-Hsuan Chiang1, Corresponding address, Hsin-Cheng Chiu1, Corresponding address

1. Department of Biomedical Engineering and Environmental Sciences, National Tsing Hua University, Hsinchu 30013, Taiwan
2. Department of Chemical Engineering, National Chung Hsing University, Taichung 402, Taiwan

Published 2017-1-7

Citation:
Hung CC, Huang WC, Lin YW, Yu TW, Chen HH, Lin SC, Chiang WH, Chiu HC. Active Tumor Permeation and Uptake of Surface Charge-Switchable Theranostic Nanoparticles for Imaging-Guided Photothermal/Chemo Combinatorial Therapy: Erratum. Theranostics 2017; 7(3):559-560. doi:10.7150/thno.18728. https://www.thno.org/v07p0559.htm
Other styles

File import instruction

Corrected-article in Theranostics, Volume 6, 302

 

In our paper [1] and the supplementary materials, Figure 10b and Figure S10 should be corrected as follows.

 Figure 10 

(a) Tumor growth inhibition profiles of the mice bearing TRAMP-C1 tumor injected with various formulations, followed by NIR laser irradiation (5 min, 1.0 W/cm2) 6 h post-injection or without any laser treatment (n = 4 per group). Morphology and size of the tumors of each group isolated from the sacrificed mice at day 15 (the end point) after the treatment. (b) Images of H&E-stained tumor sections harvested from the tumor-bearing mice receiving treatments. Scale bars are 100 μm.

Theranostics Image
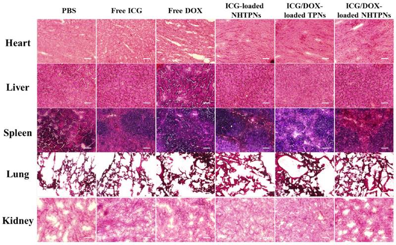
 Figure S10 

H&E-stained images of major organs. The TRAMP-C1 tumor-bearing mice receiving different formulations and NIR irradiation were sacrificed 15 days post treatment. Scale bars are 100 μm.

Theranostics Image

References

1. Hung CC, Huang WC, Lin YW, Yu TW, Chen HH, Lin SC, Chiang WH, Chiu HC. Active Tumor Permeation and Uptake of Surface Charge-Switchable Theranostic Nanoparticles for Imaging-Guided Photothermal/Chemo Combinatorial Therapy. Theranostics. 2016;6(3):302-317 doi:10.7150/thno.13686

Author contact

Corresponding address Corresponding authors: poemt5637com (W.-H. Chiang) and hscchiunthu.edu.tw. (H.-C. Chiu)


Citation styles

APA
Hung, C.C., Huang, W.C., Lin, Y.W., Yu, T.W., Chen, H.H., Lin, S.C., Chiang, W.H., Chiu, H.C. (2017). Active Tumor Permeation and Uptake of Surface Charge-Switchable Theranostic Nanoparticles for Imaging-Guided Photothermal/Chemo Combinatorial Therapy: Erratum. Theranostics, 7(3), 559-560. https://doi.org/10.7150/thno.18728.

ACS
Hung, C.C.; Huang, W.C.; Lin, Y.W.; Yu, T.W.; Chen, H.H.; Lin, S.C.; Chiang, W.H.; Chiu, H.C. Active Tumor Permeation and Uptake of Surface Charge-Switchable Theranostic Nanoparticles for Imaging-Guided Photothermal/Chemo Combinatorial Therapy: Erratum. Theranostics 2017, 7 (3), 559-560. DOI: 10.7150/thno.18728.

NLM
Hung CC, Huang WC, Lin YW, Yu TW, Chen HH, Lin SC, Chiang WH, Chiu HC. Active Tumor Permeation and Uptake of Surface Charge-Switchable Theranostic Nanoparticles for Imaging-Guided Photothermal/Chemo Combinatorial Therapy: Erratum. Theranostics 2017; 7(3):559-560. doi:10.7150/thno.18728. https://www.thno.org/v07p0559.htm

CSE
Hung CC, Huang WC, Lin YW, Yu TW, Chen HH, Lin SC, Chiang WH, Chiu HC. 2017. Active Tumor Permeation and Uptake of Surface Charge-Switchable Theranostic Nanoparticles for Imaging-Guided Photothermal/Chemo Combinatorial Therapy: Erratum. Theranostics. 7(3):559-560.

This is an open access article distributed under the terms of the Creative Commons Attribution (CC BY-NC) License. See http://ivyspring.com/terms for full terms and conditions.
Popup Image