Theranostics 2022; 12(17):7643-7644. doi:10.7150/thno.78598 This issue Cite

Erratum

Focused ultrasound-augmented targeting delivery of nanosonosensitizers from homogenous exosomes for enhanced sonodynamic cancer therapy: Erratum

Yichen Liu*, Lianmei Bai*, Kaili Guo, Yali Jia, Kun Zhang, Quanhong Liu, Pan Wang Corresponding address, Xiaobing Wang Corresponding address

Key Laboratory of Medicinal Resources and Natural Pharmaceutical Chemistry, Ministry of Education, National Engineering Laboratory for Resource Developing of Endangered Chinese Crude Drugs in Northwest of China, College of Life Sciences, Shaanxi Normal University, Xi'an, Shaanxi, China.
*These authors contributed equally to this work.

Published 2022-11-2

Citation:
Liu Y, Bai L, Guo K, Jia Y, Zhang K, Liu Q, Wang P, Wang X. Focused ultrasound-augmented targeting delivery of nanosonosensitizers from homogenous exosomes for enhanced sonodynamic cancer therapy: Erratum. Theranostics 2022; 12(17):7643-7644. doi:10.7150/thno.78598. https://www.thno.org/v12p7643.htm
Other styles

File import instruction

Corrected-article in Theranostics, Volume 9, 5261

 

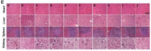
The authors regret for the inadvertent mistakes in the original version of this article and would like to correct them as below. Free-DVDMS group in Figure 4D and with the presence of US1+US2 in Figure 9F, the biodistributions at 24 h in Figure 7A and 48 h/72 h in Figure S14A, the representative images in Figure S16E were not presented correctly. The authors confirm that the corrections do not affect the descriptions, findings and conclusions reported in the paper. The authors sincerely apologize for any inconvenience caused.

 Figure 4D 

Corrected image.

Theranostics Image
 Figure 7A 

Corrected image.

Theranostics Image
 Figure 9F 

Corrected image

Theranostics Image
 Figure S14A 

Corrected image.

Theranostics Image
 Figure S16E 

Corrected image.

Theranostics Image

Author contact

Corresponding address Corresponding authors: Xiaobing Wang and Pan Wang, College of Life Sciences, Shaanxi Normal University, Xi'an 710062, Shaanxi, China. E-mail: Xiaobing Wang, wangxiaobingedu.cn; Pang Wang, wangpanedu.cn; Telephone: + 86-29-8531 0275


Citation styles

APA
Liu, Y., Bai, L., Guo, K., Jia, Y., Zhang, K., Liu, Q., Wang, P., Wang, X. (2022). Focused ultrasound-augmented targeting delivery of nanosonosensitizers from homogenous exosomes for enhanced sonodynamic cancer therapy: Erratum. Theranostics, 12(17), 7643-7644. https://doi.org/10.7150/thno.78598.

ACS
Liu, Y.; Bai, L.; Guo, K.; Jia, Y.; Zhang, K.; Liu, Q.; Wang, P.; Wang, X. Focused ultrasound-augmented targeting delivery of nanosonosensitizers from homogenous exosomes for enhanced sonodynamic cancer therapy: Erratum. Theranostics 2022, 12 (17), 7643-7644. DOI: 10.7150/thno.78598.

NLM
Liu Y, Bai L, Guo K, Jia Y, Zhang K, Liu Q, Wang P, Wang X. Focused ultrasound-augmented targeting delivery of nanosonosensitizers from homogenous exosomes for enhanced sonodynamic cancer therapy: Erratum. Theranostics 2022; 12(17):7643-7644. doi:10.7150/thno.78598. https://www.thno.org/v12p7643.htm

CSE
Liu Y, Bai L, Guo K, Jia Y, Zhang K, Liu Q, Wang P, Wang X. 2022. Focused ultrasound-augmented targeting delivery of nanosonosensitizers from homogenous exosomes for enhanced sonodynamic cancer therapy: Erratum. Theranostics. 12(17):7643-7644.

This is an open access article distributed under the terms of the Creative Commons Attribution License (https://creativecommons.org/licenses/by/4.0/). See http://ivyspring.com/terms for full terms and conditions.
Popup Image