Theranostics 2022; 12(17):7640. doi:10.7150/thno.78444 This issue Cite

Erratum

Excretable IR-820 for in vivo NIR-II fluorescence cerebrovascular imaging and photothermal therapy of subcutaneous tumor: Erratum

Zhe Feng1#, Xiaoming Yu2#, Minxiao Jiang2, Liang Zhu3, Yi Zhang4, Wei Yang4, Wang Xi3, Gonghui Li2, Jun Qian1,2 Corresponding address

1. State Key Laboratory of Modern Optical Instrumentations, Centre for Optical and Electromagnetic Research; JORCEP (Sino-Swedish Joint Research Center of Photonics), Zhejiang University, Hangzhou, 310058, China
2. Department of Urology, Sir Run-Run Shaw Hospital College of Medicine, Zhejiang University, Hangzhou 310016, China
3. Interdisciplinary Institute of Neuroscience and Technology (ZIINT), Zhejiang University, Hangzhou, 310058, China
4. School of Basic Medical Sciences, Zhejiang University, Hangzhou, 310058, China
#These authors contributed equally

Published 2022-11-2

Citation:
Feng Z, Yu X, Jiang M, Zhu L, Zhang Y, Yang W, Xi W, Li G, Qian J. Excretable IR-820 for in vivo NIR-II fluorescence cerebrovascular imaging and photothermal therapy of subcutaneous tumor: Erratum. Theranostics 2022; 12(17):7640. doi:10.7150/thno.78444. https://www.thno.org/v12p7640.htm
Other styles

File import instruction

Corrected-article in Theranostics, Volume 9, 5706

 

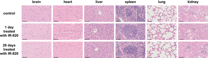
One microscopic image of tissue sections of the mouse brain in Fig. S5 (Supplementary Files) was chosen incorrectly due to wrong data naming. We have performed the histological examination again to ensure scientific rigor in this work. The newly arranged Fig. S5 is as follows. Notably, the correction does not affect the main conclusion of our paper. We genuinely apologize to the Editor and the readership of the journal for any inconvenience it caused.

 Figure S5 

Microscopic images of tissue sections from mice injected with 1 × PBS solution (200 μL) as control, PBS solution of IR-820 (0.5 mg/mL, 200 µL) for 1 day and 28 days respectively. Scale bar: 50 μm.

Theranostics Image

Author contact

Corresponding address Corresponding author: Prof. Jun Qian (qianjunedu.cn)


Citation styles

APA
Feng, Z., Yu, X., Jiang, M., Zhu, L., Zhang, Y., Yang, W., Xi, W., Li, G., Qian, J. (2022). Excretable IR-820 for in vivo NIR-II fluorescence cerebrovascular imaging and photothermal therapy of subcutaneous tumor: Erratum. Theranostics, 12(17), 7640. https://doi.org/10.7150/thno.78444.

ACS
Feng, Z.; Yu, X.; Jiang, M.; Zhu, L.; Zhang, Y.; Yang, W.; Xi, W.; Li, G.; Qian, J. Excretable IR-820 for in vivo NIR-II fluorescence cerebrovascular imaging and photothermal therapy of subcutaneous tumor: Erratum. Theranostics 2022, 12 (17), 7640. DOI: 10.7150/thno.78444.

NLM
Feng Z, Yu X, Jiang M, Zhu L, Zhang Y, Yang W, Xi W, Li G, Qian J. Excretable IR-820 for in vivo NIR-II fluorescence cerebrovascular imaging and photothermal therapy of subcutaneous tumor: Erratum. Theranostics 2022; 12(17):7640. doi:10.7150/thno.78444. https://www.thno.org/v12p7640.htm

CSE
Feng Z, Yu X, Jiang M, Zhu L, Zhang Y, Yang W, Xi W, Li G, Qian J. 2022. Excretable IR-820 for in vivo NIR-II fluorescence cerebrovascular imaging and photothermal therapy of subcutaneous tumor: Erratum. Theranostics. 12(17):7640.

This is an open access article distributed under the terms of the Creative Commons Attribution License (https://creativecommons.org/licenses/by/4.0/). See http://ivyspring.com/terms for full terms and conditions.
Popup Image