Theranostics 2019; 9(22):6466-6467. doi:10.7150/thno.39082 This issue Cite

Erratum

Powerful anti-colon cancer effect of modified nanoparticle-mediated IL-15 immunogene therapy through activation of the host immune system: Erratum

Xiaoxiao Liu1,2,3,*, Yanyan Li4,*, Xiaodong Sun1,*, Yagmur Muftuoglu5, Bilan Wang3, Ting Yu1, Yuzhu Hu1, Lu Ma1, Mingli Xiang1, Gang Guo1, Chao You1, Xiang Gao1, Corresponding address, Yuquan Wei1

1. Department of Neurosurgery and Institute of Neurosurgery, State Key Laboratory of Biotherapy, West China Hospital, West China Medical School, Sichuan University/Collaborative Innovation Center for Biotherapy, Chengdu, 610041, China.
2. Department of Radiation Oncology, Cancer Center, Affiliated Hospital of Xuzhou Medical University; Jiangsu Center for the Collaboration and Innovation of Cancer Biotherapy, Cancer Institute, Xuzhou Medical University, Xuzhou, 221000, China.
3. Department of Pharmacy, West China Second University Hospital of Sichuan University, Chengdu, 610041, China.
4. Department of radiation oncology, Fudan University Shanghai Cancer Center; Department of Oncology, Shanghai Medical College, Fudan University, Shanghai 200032, China
5. Stanford University School of Medicine, Stanford, CA 94305, USA
*These authors are considered equal first authors.

Published 2019-8-17

Citation:
Liu X, Li Y, Sun X, Muftuoglu Y, Wang B, Yu T, Hu Y, Ma L, Xiang M, Guo G, You C, Gao X, Wei Y. Powerful anti-colon cancer effect of modified nanoparticle-mediated IL-15 immunogene therapy through activation of the host immune system: Erratum. Theranostics 2019; 9(22):6466-6467. doi:10.7150/thno.39082. https://www.thno.org/v09p6466.htm
Other styles

File import instruction

Corrected-article in Theranostics, Volume 8, 3490

 

In our paper [1] and the supplementary materials, Figure 10C and Supplementary Figure 5 should be corrected as the following Figure A1 and Figure A2.

 Figure A1 

(Figure 10C). Detection of cell apoptosis. Cell apoptosis was assessed by counting the number of TUNEL-positive cells in the field, and a greater level of apoptosis was observed in the DMA/pIL15 group compared to the other groups (mean ± SEM; five high power fields per slide; *, p < 0.01 DMA/pIL15 versus GS, DMA, DMA/pc3.1).

Theranostics Image
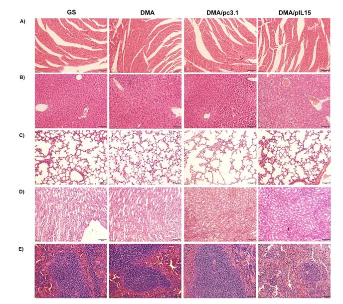
 Figure A2 

(Supplementary Figure 5). Toxicity assessment in vivo with pathological sections. Histological examinations of H&E-stained sections of vital organs from mice in the different treatment groups: (A) heart, (B) liver, (C) lung, (D) kidney, and (E) spleen. No significant pathological changes were detected.

Theranostics Image

References

1. Liu X, Li Y, Sun X, Muftuoglu Y, Wang B, Yu T, Hu Y, Ma L, Xiang M, Guo G, You C, Gao X, Wei Y. Powerful anti-colon cancer effect of modified nanoparticle-mediated IL-15 immunogene therapy through activation of the host immune system. Theranostics. 2018;8(13):3490-3503 doi: 10.7150/thno.24157

Author contact

Corresponding address Corresponding author: Xiang Gao. Tel: +86 28 8542 2136; Fax +86 28 8550 2796; Email: xianggaoedu.cn


Citation styles

APA
Liu, X., Li, Y., Sun, X., Muftuoglu, Y., Wang, B., Yu, T., Hu, Y., Ma, L., Xiang, M., Guo, G., You, C., Gao, X., Wei, Y. (2019). Powerful anti-colon cancer effect of modified nanoparticle-mediated IL-15 immunogene therapy through activation of the host immune system: Erratum. Theranostics, 9(22), 6466-6467. https://doi.org/10.7150/thno.39082.

ACS
Liu, X.; Li, Y.; Sun, X.; Muftuoglu, Y.; Wang, B.; Yu, T.; Hu, Y.; Ma, L.; Xiang, M.; Guo, G.; You, C.; Gao, X.; Wei, Y. Powerful anti-colon cancer effect of modified nanoparticle-mediated IL-15 immunogene therapy through activation of the host immune system: Erratum. Theranostics 2019, 9 (22), 6466-6467. DOI: 10.7150/thno.39082.

NLM
Liu X, Li Y, Sun X, Muftuoglu Y, Wang B, Yu T, Hu Y, Ma L, Xiang M, Guo G, You C, Gao X, Wei Y. Powerful anti-colon cancer effect of modified nanoparticle-mediated IL-15 immunogene therapy through activation of the host immune system: Erratum. Theranostics 2019; 9(22):6466-6467. doi:10.7150/thno.39082. https://www.thno.org/v09p6466.htm

CSE
Liu X, Li Y, Sun X, Muftuoglu Y, Wang B, Yu T, Hu Y, Ma L, Xiang M, Guo G, You C, Gao X, Wei Y. 2019. Powerful anti-colon cancer effect of modified nanoparticle-mediated IL-15 immunogene therapy through activation of the host immune system: Erratum. Theranostics. 9(22):6466-6467.

This is an open access article distributed under the terms of the Creative Commons Attribution License (https://creativecommons.org/licenses/by/4.0/). See http://ivyspring.com/terms for full terms and conditions.
Popup Image