Theranostics 2012; 2(5):427-436. doi:10.7150/thno.3794 This issue Cite

Review

How Does the Patient Benefit from Clinical PET?

Jens Sörensen Corresponding address

Section of Nuclear Medicine & PET, Department of Radiology, Oncology and Radiation Sciences. Uppsala University, SE-75185, Uppsala, Sweden.

Received 2011-11-13; Accepted 2012-2-26; Published 2012-5-4

Citation:
Sörensen J. How Does the Patient Benefit from Clinical PET?. Theranostics 2012; 2(5):427-436. doi:10.7150/thno.3794. https://www.thno.org/v02p0427.htm
Other styles

File import instruction

Abstract

Clinical molecular imaging by use of PET and PET/CT is increasingly important in routine oncological practice worldwide. A vast majority of clinical PET investigations are performed with [18F]-fluorodeoxyglucose (FDG), but there is a growing interest in novel molecular probes among scientists and clinicians. Beyond FDG, a small number of different tracers have been shown to be of clinical value. With a growing commercial interest in tracer development, many more are under investigation. This review provides some examples of clinical situations where tracers other than FDG have been found useful and an outlook towards technical and regulatory development needed to allow the full impact of clinical PET to benefit the individual patient.

Keywords: PET, PET/CT, [18F]-fluorodeoxyglucose, patient

Introduction

Positron Emission Tomography (PET) is as old as computed tomography (CT), but only during the last decade has PET been regarded as a relevant clinical entity. This change is due to two fundamental issues, primarily: 1. evidence of the almost universal utility of [18F]-fluorodeoxyglucose (FDG) PET in the evaluation of cancers [1, 2] and 2. a dramatic improvement in clinical acceptance and patient logistics when PET and CT were combined into a hybrid device. [3]

A range of positron emitting isotopes is available for use in clinical imaging with PET, of which the biologically most relevant isotopes are carbon-11, oxygen-15 and fluoride-18. Substituting a stable isotope with its positron-emitting counterpart in biologically interesting molecules provide tracers of endogenous substances or drugs with no or only minimal pharmacodynamic differences. The tracers are typically injected into the blood stream in microgram amounts and the PET scanner is able to detect and accurately quantify tracer concentrations at the picomolar level.

When the radioactive isotope incorporated into the PET tracer decays, a positron is emitted and immediately collides with an electron. The collision results in an annihilation of both particles and the formation of two high-energy photons that leave the site of collision at angels of 180 degrees. The PET scanner is built to detect the photons in coincidence, disregarding all other signals as noise. When a sufficient number of decays have been detected and stored, a computer converts the information about decay events into images, where the color of each pixel represents radioactivity concentration or some derivative thereof. These images are further investigated in dedicated work-stations, where the CT and PET images can be visualized interactively in a fused display.

FDG is a non-metabolized glucose analog that is a substrate both for the dedicated glucose transporters on the cell membrane and the cytoplasmic enzyme hexokinase responsible for phosphorylation. After phosphorylation the FDG is not a substrate for further pathways and is effectively trapped in the cell. Many cancers rely on glucose for energy production and growth and tend to have enhanced expression of glucose transporters and hexokinase, resulting in an elevated accumulation of FDG when studied with PET in vivo.

The clinical impact of FDG-PET/CT is perhaps most obvious in the evaluation of non-small cell lung cancer (NSCLC) and is currently regarded as a first-line requirement for optimal patient care.[4] There are several reasons for using FDG-PET/CT in the evaluation of cancer, as can be seen in Figure 1. The finding of a suspicious lung nodule in CT combined with an elevated FDG uptake has a high sensitivity detecting a cancerous growth in the lesion (Figure 1, A). Such a patient needs urgent treatment. On the other hand, a similar lesion in CT associated with an absence of FDG uptake has a very high negative predictive value (Figure 1, B) and this patient could be subjected to watchful waiting.

 Figure 1 

Lung cancer. Transaxial images of CT (left) and FDG-PET/CT (right) in three different patients. A: A male smoker with 2 cm lump in left lung (red cross hair). With CT alone the risk of this lump being cancer is 50%. The lump has a very high FDG uptake, which is typical for fast growing cancers and the combined image indicates an 80% risk of cancer. B: A non-smoking female with a 1.5 cm lesion that has no FDG uptake (the large yellow area is the heart muscle). The negative predictive value of the combined image is 99%. C: CT with a bone window setting is negative for bone metastases. PET shows two small metastases with very intense uptake. This pattern indicates infiltrative growth in the bone marrow with minimal destruction of bone structure and might precede positive findings on CT alone by several months.

Theranostics Image

In case the lung lesion is confined, the patient is potentially curable by surgery. However, lung cancer often metastasizes early. For this reason, modern FDG-PET/CT imaging evaluates larger parts of the body, typically from the base of the skull to the mid-thighs, and has a very high sensitivity for detecting spread disease. The PET images show more metastatic lesions than any other imaging modality (Figure 1,C).

Use of FDG-PET/CT in staging of cancer

While the benefits of FDG-PET/CT for detection and staging are most remarkable in lung cancer, similarities in impact for several other cancer types have been sufficiently well documented and are now routinely considered obvious indications for PET. Table 1 shows a list of reimbursable indications as granted by Medicare in the USA.[5] Coverage is granted for the majority of solid cancers. The common experience among many oncologists and imaging practitioners is that almost all solid tumors are sometimes relevant to scan and FDG-PET/CT often provides crucial information even on top of all other investigations performed. This experience has been integrated in clinical routines in some areas of the world, including many European countries, where all patients with solid tumors are potentially candidates for FDG-PET/CT at the discretion of the referring physician. In an effort to provide evidence for this common finding, a recent registry study in the US managed to collect data from close to 30 000 patients with malignancies other than those previously reimbursed.[2] When compiled, the data indicated that FDG-PET/CT had a major impact on subsequent patient care in approximately 30% of cases, irrespective of tumor type. This study was pivotal when Medicare decided to support a number of new indications in 2009.

 Table 1 

A list of indications for FDG-PET supported by the US Medicare system. CED: Coverage with Evidence Development.

Tumor Type Initial Treatment StrategySubsequent Treatment Strategy
ColorectalCoverCover
EsophagusCoverCover
Head &Neck (not Thyroid, CNS)CoverCover
LymphomaCoverCover
Non-Small Cell LungCoverCover
BrainCoverCED
OvaryCoverCover
CervixCover/CEDCover
Smal Cell LungCoverCED
Soft Tissue SarcomaCoverCED
Pancreas (exocrine)CoverCED
TestesCoverCED
BreastCED/Cover distant metastasisCover
MelanomaCoverCover
ProstateNon-CoverCED
ThyroidCoverCED
All other solid tumorsCoverCED
MyelomaCoverCover
All other cancers not listed hereinCEDCED

Treatment response

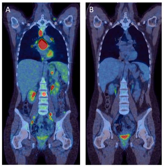
PET is inherently a quantitative technique, meaning that the scanner measures radioactivity concentrations, not merely isotopic decays. The quantitative properties can be utilized in many different ways and is the foundation of the use of PET in biomedical research.[6] In the clinical routine situation, quantitation provides an opportunity to compare tumor tracer uptake in serial measurements, for example before and after treatment. Assuming that a sufficient decrease in FDG uptake early after treatment reflects a similar and sustained reduction in tumor growth, this technique could be used as a biomarker of treatment effect. Recent years have seen a strong interest in investigating the potential clinical utility of this biomarker approach to serial imaging.[7] The most obvious example of success is in the evaluation of lymphoma treatment.[8] Malignant lymphomas are characterized by a very high FDG uptake and, similar to the case of lung cancer, FDG-PET/CT often upstage patients because more lesions are detected than with any other approach. Modern treatment is highly effective and has improved survival greatly, but the lumpy lymphoma lesions often heal with scar formation. These scars consist of fibrous tissue, disappear slowly and cannot be distinguished from residual malignancy with CT or MRI alone. When the lymphoma patient is scanned after treatment, a residual lump without any FDG uptake is a prognostically excellent sign, while elevated FDG uptake signals remaining viable tumor with minimal likelihood of cure unless treatment is changed.[8] An example of the sometimes dramatic changes in tumor FDG uptake after successful treatment can be seen in Figure 2.

 Figure 2 

FDG-PET/CT for staging and treatment evaluation in lymphoma. Combined coronal [18F]-FDG PET/CT images from a 25-year old woman, who was diagnosed with aggressive Non-Hodgkins Lymphoma. Prior to PET/CT the patient was known to have disease in the neck and mediastinum. The left image was obtained before treatment and showed extensive growth of tumors not only in the neck and mediastinum, but also in abdominal lymph nodes, bone marrow, liver and spleen. This image dramatically changed the disease stage and the associated treatment. The image to the right shows the same view after three courses of a standardized chemotherapy regime, typically given in 8 courses. The mediastinal lumps remain visible on CT, termed ”partial anatomical remission”, but neither these lumps nor any of the previously diagnosed lymphoma locations show pathological FDG uptake, a pattern of findings termed ”complete metabolic remission”. This finding after treatment is highly predictive of treatment success without any need of therapy changes. On the other hand, remaining FDG uptake in any of the known lumps is associated with a high likelihood of recurrence.

Theranostics Image

Serial FDG PET for treatment evaluation as an early biomarker for outcome has been investigated in several cancer types, but no specific protocols have so far been established in clinical routine with international consensus, apart from lymphoma. Even for lymphoma, the best documented disease in which treatment evaluation using PET is considered relevant, multicenter studies are needed to optimize and refine the protocols. Defining optimal protocols for other malignancies is an area of intense interest and research, by some considered crucial for future drug development.[7, 9-11]

External radiation therapy dose planning with FDG PET/CT

Almost half of all cancer patients will receive radiation therapy (RT) during the cause of treatment. RT can be given with a curative intent, adjuvant or for palliation. RT with curative intent, during which radiation is often delivered daily during several weeks, aims to deliver enough dose to kill off all cancer cells. Adjuvant therapy is given to reduce the size of the tumor prior to surgery or to enhance the effects of concomitant chemotherapy. Palliative radiation therapy is given to alleviate symptoms such as pain from bone metastases.

Dose planning is most often done based on CT images, in which the tumor is identified and manually outlined. More advanced techniques for delivering dose exist, such as Intensity Modulating Radiation Therapy (IMRT), with which radiation can be distributed with an accuracy of approximately 1 mm. The goal for all types of RT is to deliver as much energy to the cancer cells as possible, while sparing the normal tissues.

FDG PET/CT is useful in RT planning in two different ways. First, in some cancers, such as head-and-neck cancer and lung cancer, it is now clear that omitting whole-body FDG PET/CT prior to RT with curative intent could result in up to 10% of cases receiving futile treatment because of metastatic disease being more widespread than perceived from CT or MRI images alone.[12] Second, the PET images can provide additional information about the extent of local cancer growth. This is seen for example in head-and-neck cancer, where diffuse growth is seen by PET outside the solid tumor demarcation seen on CT and should result in a larger volume being irradiated.[13] Or when only a smaller part of the perceived solid tumor actually contains metabolically active cancer, which is commonly seen in lung cancer, where a large fraction of the tumor outlined on CT can be due to atelectasis (collapsed lung tissue after airway closure).[14]

Beyond FDG: a world of tracers

Development in molecular imaging requires a network of specialists in several fields of science, but the full scope of opportunities is realized through the discipline of radiochemistry. A huge number of PET tracers have been characterized and investigated in human trials.[15] Many of these tracers have provided important information on specific aspects of the biochemistry of the living organism. Only a small fraction of previously developed tracers have been found useful in clinical diagnostic services, but the number is increasing. There is currently an exponential growth in the use of molecular imaging in many fields of biological research, providing opportunities for commercial interests and easier access for non-academic sites. A number of tracers are available from centralized production facilities and used clinically in remote centres within transportation range. Some tracers are made available through pre-made cassettes that are mounted and used locally with standardized synthesizer production units.

There has been a focus on establishing tracers labeled with fluorine-18 for clinical use, while the more versatile isotope carbon-11 has been put to use for labeling tracers in academic projects and drug development. Recently, the use of generator-based radioisotope production has seen renewed interest with the clinical introduction of gallium-68-based labeling of somatostatin analogs.[16] Many other peptides and macromolecules can be labeled with [68Ga], but have so far not reached clinical maturation.[17]

Some long-lived isotopes are currently considered for clinical PET imaging. [124I]-iodide can substitute the single photon emitting equivalents ([123I] and [131I] in evaluation of thyroid disease.[18] Macromolecules are difficult to study with PET and the traditional short-lived isotopes because of the slow pharmacodynamics. When large molecules, such as antibodies and fragments thereof, are radiolabeled with isotopes of sufficiently long half-lives they could potentially be used with PET imaging many hours after injection, at a time when only the tracer bound to the specific target remains in the tissue.[19]

Radiotracers in clinical use with PET can be categorized in several different ways, depending on labeling, access and biological mechanisms of uptake, etcetera. One useful biological denominator is whether the tracer identifies processes that are highly specific or integrative. Highly specific probes bind to a singular target, such as a receptor or enzyme. Such probes are typically used for imaging of upstream targets that are unique expressed in association with a certain disease. An integrative probe identifies a general biological activity that is common for several parallel processes in the organism, such as protein synthesis, energy metabolism or tissue perfusion. Table 2 provides a list of some tracers that have been found clinically useful in our centre, an academic institution with a strong focus on radiochemistry development, or have been made commercially available elsewhere.

 Table 2 

A list of some clinically useful PET tracers.

TracerDiagnostic relevance of uptake mechanism
General biological activity (downstream markers)
[18F]-fluorodeoxyglucoseThe signal is proportional to glucose uptake and phosphorylation. Glucose is the major carbon donor for energy production and replenishment of macromolecule production in many organs and many cancers.
1-[11C]-acetateThe smallest unit of carbon distribution. Initial uptake is proportional to blood flow. Retention is due to intracellular trapping as [11C]-acetyl-CoA, which is converted to [11C]-CO2 in oxidative metabolism or consumed in liponeogenesis. Useful in investigations of cardiac physiology and for detection of some cancers, mainly prostate carcinoma.
[18F]-fluoro-thymidineA non-metabolized analog of thymidine, the only DNA-specific nucleotide. Signal is proportional to proliferative activity in several cancer types, including astrocytomas and lung cancer. The tracer enters the cell through distinct thymidine transporters and is phosphorylated, which results in trapping.
[11C]-L-methionineUptake and metabolism is similar to the endogenous molecule, an essential amino acid. Signal is proportional to amino acid uptake and protein synthesis. Uptake is generally elevated in tissues with high anabolic metabolism, such as glands, bone marrow and many cancers. Mainly used for brain tumor imaging. Several other radiolabeled amino acids are also in clinical use.
[11C]-cholineUptake is through membrane bound choline-transporters. Intracellular retention is due to phosphorylation and incorporation into phospholipids, to a large extent used to replenish fatty membranes. Membrane formation is linked to proliferation. Clinically used in prostate cancer imaging.
Several cholin-analogs labeled with [18F] exist, the uptake mechanism being the same as for the carbon-11 labeled tracer, but without the formation of phospholipids.
[18F]-fluorideFluoride, when available, substitutes phosphate in the formation of bone mineral. Uptake and retention of the basic isotope is proportional to bone blood flow and bone mineral formation. Clinically used to study and diagnose skeletal diseases, mainly bone metastases.
[15O]-waterWater is freely diffusible in all tissues. When used as a PET tracer, the rate of radioactive water flux is directly proportional to tissue perfusion, the nutritive portion of blood flow. Perfusion is important in many clinical scenarios and directly diagnostic in investigations of the heart and brain.
Specific targeting (upstream markers)
[11C]-metomidateSpecifically acts as an antagonist to beta-hydroxylase, a key enzyme in adrenocortical steroid synthesis. Clinically used to visualize tumors of adrenocortical origin.
[11C]-5-hydroxytryptophanHydroxytryptophan is the key substrate for the enzyme Dopa decarboxylase in serotonin production. Metabolic accumulation of this tracer is highly upregulated in most tumors of neuroendocrine origin, specifically the carcinoids.
[18F]-DOPARadiolabeled DOPA accumulates in dopaminergic presynaptic neurons and in tumors of neuroendocrine origin. Used to study and diagnose Parkinsonian syndromes and for visualization of neuroendocrine tumors.
[11C]-meta-hydroxyephedrineA non-metabolized analog of norepinephrine. Accumulates in presynaptic vesicles of norepinephric synapses. The signal is proportional to regional sympathetic activity. Used clinically in studies of cardiac innervation and for detecting tumors originating from sympathetic tissues (pheochromocytomas, paragangliomas).
[68Ga]-DOTA-TOCRadiolabeled somatostatin analogs are used in visualization and treatment of neuroendocrine tumors, specifically the carcinoids. Analogs labeled for use with PET have a higher sensitivity than the more common [111In]-labeled variants and are currently favored in clinical practice.
[18F]-RGD-binding peptidesA number of peptides that bind to the RGD motif of the αvβ3 integrin have been labeled with [18F]. The integrin is co-expressed with the VEGF receptor during neoangiogenesis, the formation of new blood vessels.
[11C]-flumazenilFlumazenil is a registered drug that acts as a partial agonist to benzodiazepines on the GABA-A receptor in the central nervous system. Clinically the drug is used as an antidote in sedative intoxication. As a tracer it is used to identify and locate brain abnormalities prior to surgery in patients with treatment-refractory epilepsy.
[11C]-PIBPittsburgh compound B (“PIB”) binds to amyloid, a waste protein accumulating in the brains of patients with Alzheimer's disease. Currently used to enrich trials of anti-amyloid treatments by helping identify patients with substantial brain amyloid. A few reports indicate an opportunity to document changes in brain amyloid load quantitatively. There are several [18F]-labeled amyloid tracers in clinical trials.

There are several examples of specific tracers already in clinical use. Figure 4 shows [11C]-5-hydroxytryptophan uptake in two very small bone metastases in a patient with a known carcinoid tumor. 5-Hydroxytryptophan is the precursor of serotonin. The converting enzyme 5-hydroxytryptophan decarboxylase is highly expressed in the majority of tumors with neuroendocrine origin.[20] After evaluating more than 1000 patient scans, it has been confirmed that no other tumor type or pathological process have any extensive expression of the enzyme. As such, focal uptake of this tracer in the bones can only be explained by metastases from a neuroendocrine tumor. With experience, a tool like this sometimes obviates the need for additional histopathology and the referring doctor moves directly towards relevant therapy.

 Figure 3 

Some tracers used for diagnosis in oncology in one PET Center. Numerous PET tracers have been investigated for clinical utility worldwide. For a few of these there are at least some evidences for patient benefit, supporting routine use in selected patient groups. This collage shows a number of the tracers in clinical routine use locally at the PET Centre of Uppsala University hospital. From top left to bottom right: [18F]-FDG is the universal tracer for evaluating the growth pattern and aggressiveness of a tumor.[1] The image shows a patient with an exocrine pancreatic cancer. [68Ga]-Gallium-DOTA-TOC is a somatostatin analog used for evaluating somatostatin-receptor-positive tumors of neuroendocrine origin.[16] Shown is a liver metastasis from a mid-gut carcinoid tumor. [11C]-5-Hydroxytryptophan is probably the most sensitive tracer for detection of neuroendocrine tumors.[20] This patient had a 5 mm metastasis in the pericardium from an endocrine pancreatic tumor, confirmed at surgery. [18F]-Fluoride is helpful in detection of bone metastases.[29] [11C]-L-Methionine is a tracer of the endogenous essential amino acid and has a high uptake in many tumors. It is primarily used for brain tumor imaging,[30] but is also used as a last resort when trying to locate a parathyroid tumor [31]as shown in the image. [11C]-Metomidate binds selectively to the enzyme beta-hydroxylase, which is expressed exclusively in adrenal cortex. The tracer is used to detect tumors of adrenocortical origin.[32] The image shows recurrence of an adrenocortical carcinoma. [11C]-meta-Hydroxyephedrine has a very high retention in sympathetically innervated tissues and is useful both for studying cardiac innervation and paragangliomas, especially in pheochromocytomas.[33] The image shows a patient with a left-sided pheochromocytoma. 1-[11C]-acetate has a use in research of cardiac function[34] and as a general tracer for detection of highly differentiated tumors, primarily prostate carcinomas.[35] The image shows a large lymph node metastasis of prostate carcinoma.

Theranostics Image
 Figure 4 

A sagittal [11C]-5-Hydroxytryptophan PET/CT sectioning the spine in a patient referred for follow-up after treatment for a carcinoid tumor. Because of the specificity of the tracer, the very intense uptake in the millimeter-sized spinal lesions is highly suspicious for bone metastasis.

Theranostics Image

Scaling up: from a FDG-PET facility to a molecular imaging centre

As the field of molecular imaging grows, there will be a need for continuous specialization and training for many different types of experts. The amount of information potentially available for evaluating and making treatment decisions for a single patient will require teams of specialists. Clinically, the imaging expert will move from mainstream radiology focusing on morphology and structure towards a situation where imaging with multiple tracers is available on top of a daunting amount of radiological imaging tools. Interpolating information from different biological systems, morphology, upstream and downstream markers will require training in molecular medicine, pharmacology, physiology and anatomy/radiology.

Radiochemists are working in the interface of innovation and regulatory demands that tend to increase over time. The major cost for a full scale molecular imaging centre is related to radiochemistry, including cyclotron services, which need to be taken into account early during planning. There is a definitive lack of radiochemists with skills in the area of tracer development and many more are needed for the field to continue to grow.

Developing clinical molecular imaging, the near future

In a few years, FDG-PET/CT has become a standard tool for evaluating cancer patients. The use of FDG is likely to increase as evidence amounts regarding new indications. Similarly, a number of tracers for general biological activity have been made available in countries where regulatory authorities accept the use of radiopharmaceuticals on the referring doctor's discretion. A range of proprietary tracers are currently in late phase clinical trials with the aim of making them commercially available. Some of these will indicate an evolution in terms of diagnostic accuracy, compared to less advanced technologies.[21] Other novel tracers will be used primarily to stratify patients for targeted therapies.[22-24]

In societies that accept prescription of GMP-made radiopharmaceuticals on a ”named-patient”-base, novel tracers will have an opportunity to contribute already in early clinical trials. On the other hand, if no commercial entities document and manufacture tracers or kits for tracer production for more widespread access, the new tracers cannot be introduced into general guidelines.

Regulatory authorities are currently regarding radiopharmaceuticals along the same line as therapeutic drugs, in spite of the fact that PET tracers are injected in amounts of a few micrograms, often at a single occasion.[25, 26] There has been a number of years where no new radiopharmaceuticals received marketing authorization. In the USA, the FDA authorized Capromab Pendetide (Prostascint) in October 1996. Not until January 2011 did another radiopharmaceutical, [123I]-Ioflupane (DATSCAN), gain authorization. Some authorities now suggest a trend towards scrutinizing the barriers for approval of compounds that are given in trace amounts.[27] The incentives for innovations and development appear to have been increased in recent years and several companies now have novel PET tracers in late phase trials.[22, 28]

In conclusion, clinical PET is increasingly impacting health care and helps stratify individual patient treatments. The use of FDG continues to grow, many other PET tracers are in small-scale use in academic centers and some are approaching a potential market authorization and more widespread use.

Competing Interests

The author has declared that no competing interest exists.

References

1. Gambhir SS, Czernin J, Schwimmer J, Silverman DH, Coleman RE, Phelps ME. A tabulated summary of the FDG PET literature. Journal of nuclear medicine. 2001;42:1S-93S

2. Lindsay MJ, Siegel BA, Tunis SR, Hillner BE, Shields AF, Carey BP. et al. The National Oncologic PET Registry: expanded medicare coverage for PET under coverage with evidence development. AJR American journal of roentgenology. 2007;188:1109-13 doi:10.2214/AJR.06.1175

3. Beyer T, Townsend DW, Brun T, Kinahan PE, Charron M, Roddy R. et al. A combined PET/CT scanner for clinical oncology. Journal of nuclear medicine. 2000;41:1369-79

4. Lardinois D, Weder W, Hany TF, Kamel EM, Korom S, Seifert B. et al. Staging of non-small-cell lung cancer with integrated positron-emission tomography and computed tomography. The New England Journal of Medicine. 2003;348:2500-7 doi:10.1056/NEJMoa022136

5. Palmetto GBA. Railroad Medicare - FDG PET for Solid Tumors and Myeloma. Medicare. 2009

6. Tomasi G, Turkheimer F, Aboagye E. Importance of Quantification for the Analysis of PET Data in Oncology: Review of Current Methods and Trends for the Future. Molecular imaging and biology: MIB: the official publication of the Academy of Molecular Imaging. 2011 doi:10.1007/s11307-011-0514-2

7. Weber WA. Assessing tumor response to therapy. Journal of nuclear medicine. 2009;50(Suppl 1):1S-10S doi:10.2967/jnumed.108.057174

8. Hutchings M, Barrington SF. PET/CT for therapy response assessment in lymphoma. Journal of nuclear medicine. 2009;50(Suppl 1):21S-30S doi:10.2967/jnumed.108.057190

9. de Geus-Oei LF, van der Heijden HF, Visser EP, Hermsen R, van Hoorn BA, Timmer-Bonte JN. et al. Chemotherapy response evaluation with 18F-FDG PET in patients with non-small cell lung cancer. Journal of nuclear medicine. 2007;48:1592-8 doi:10.2967/jnumed.107.043414

10. Vriens D, de Geus-Oei LF, van Laarhoven HW, Timmer-Bonte JN, Krabbe PF, Visser EP. et al. Evaluation of different normalization procedures for the calculation of the standardized uptake value in therapy response monitoring studies. Nuclear Medicine Communications. 2009;30:550-7 doi:10.1097/MNM.0b013e32832bdc80

11. Wahl RL, Jacene H, Kasamon Y, Lodge MA. From RECIST to PERCIST: Evolving Considerations for PET response criteria in solid tumors. Journal of nuclear medicine. 2009;50(Suppl 1):122S-50S doi:10.2967/jnumed.108.057307

12. Xu GZ, Zhu XD, Li MY. Accuracy of whole-body PET and PET-CT in initial M staging of head and neck cancer: a meta-analysis. Head & Neck. 2011;33:87-94 doi:10.1002/hed.21400

13. Ahn PH, Garg MK. Positron emission tomography/computed tomography for target delineation in head and neck cancers. Seminars in Nuclear Medicine. 2008;38:141-8 doi:10.1053/j.semnuclmed.2007.11.002

14. Yu HM, Liu YF, Hou M, Liu J, Li XN, Yu JM. Evaluation of gross tumor size using CT, 18F-FDG PET, integrated 18F-FDG PET/CT and pathological analysis in non-small cell lung cancer. European Journal of Radiology. 2009;72:104-13 doi:10.1016/j.ejrad.2008.06.015

15. Molecular Imaging and Contrast Agent Database (MICAD) - NCBI Bookshelf. NCBI. http://www.ncbi.nlm.nih.gov/books/NBK5330/

16. Velikyan I, Sundin A, Eriksson B, Lundqvist H, Sorensen J, Bergstrom M. et al. In vivo binding of [68Ga]-DOTATOC to somatostatin receptors in neuroendocrine tumours--impact of peptide mass. Nuclear Medicine and Biology. 2010;37:265-75 doi:10.1016/j.nucmedbio.2009.11.008

17. Velikyan I. Positron emitting [68Ga]Ga-based imaging agents: chemistry and diversity. Med Chem. 2011;7:345-79

18. Lubberink M, Herzog H. Quantitative imaging of 124I and 86Y with PET. European Journal of Nuclear Medicine and Molecular Imaging. 2011;38(Suppl 1):S10-8 doi:10.1007/s00259-011-1768-2

19. Dijkers EC, Oude Munnink TH, Kosterink JG, Brouwers AH, Jager PL, de Jong JR. et al. Biodistribution of 89Zr-trastuzumab and PET imaging of HER2-positive lesions in patients with metastatic breast cancer. Clinical pharmacology and therapeutics. 2010;87:586-92 doi:10.1038/clpt.2010.12

20. Orlefors H, Sundin A, Garske U, Juhlin C, Oberg K, Skogseid B. et al. Whole-body (11)C-5-hydroxytryptophan positron emission tomography as a universal imaging technique for neuroendocrine tumors: comparison with somatostatin receptor scintigraphy and computed tomography. The Journal of clinical endocrinology and metabolism. 2005;90:3392-400 doi:10.1210/jc.2004-1938

21. Sherif HM, Nekolla SG, Saraste A, Reder S, Yu M, Robinson S. et al. Simplified quantification of myocardial flow reserve with flurpiridaz F 18: validation with microspheres in a pig model. Journal of nuclear medicine. 2011;52:617-24 doi:10.2967/jnumed.110.083196

22. Beer AJ, Kessler H, Wester HJ, Schwaiger M. PET Imaging of Integrin alphaVbeta3 Expression. Theranostics. 2011;1:48-57

23. Klunk WE, Engler H, Nordberg A, Wang Y, Blomqvist G, Holt DP. et al. Imaging brain amyloid in Alzheimer's disease with Pittsburgh Compound-B. Ann Neurol. 2004;55:306-19 doi:10.1002/ana.20009

24. Laforce R Jr, Rabinovici GD. Amyloid imaging in the differential diagnosis of dementia: review and potential clinical applications. Alzheimers Res Ther. 2011;3:31. doi:10.1186/alzrt93

25. Langstrom B, Grahnen A, Honore PH, Borlak J, Bergstrom M, Nielsen B. et al. The risk of exaggerated risk aversion-a life and death struggle for molecular imaging. European Journal of Nuclear Medicine and Molecular Imaging. 2009;36:1693-4 doi:10.1007/s00259-009-1190-1

26. Lundqvist H, Antoni G, Langstrom B. Genotoxic hazard of radiopharmaceuticals in humans: chemical and radiation aspects coupled to microdosing. Eur J Clin Pharmacol. 2007;63:641-5 doi:10.1007/s00228-007-0304-6

27. Critical Path Initiative. FDA. http://www.fda.gov/ScienceResearch/SpecialTopics/CriticalPathInitiative/default.htm

28. Herholz K, Ebmeier K. Clinical amyloid imaging in Alzheimer's disease. Lancet Neurol. 2011;10:667-70 doi:10.1016/S1474-4422(11)70123-5

29. Grant FD, Fahey FH, Packard AB, Davis RT, Alavi A, Treves ST. Skeletal PET with 18F-fluoride: applying new technology to an old tracer. Journal of nuclear medicine. 2008;49:68-78 doi:10.2967/jnumed.106.037200

30. Ribom D, Schoenmaekers M, Engler H, Smits A. Evaluation of 11C-methionine PET as a surrogate endpoint after treatment of grade 2 gliomas. Journal of Neuro-Oncology. 2005;71:325-32 doi:10.1007/s11060-004-2031-5

31. Hessman O, Stalberg P, Sundin A, Garske U, Rudberg C, Eriksson LG. et al. High success rate of parathyroid reoperation may be achieved with improved localization diagnosis. World J Surg. 2008;32:774-81 doi:10.1007/s00268-008-9537-5

32. Hennings J, Lindhe O, Bergstrom M, Langstrom B, Sundin A, Hellman P. [11C]metomidate positron emission tomography of adrenocortical tumors in correlation with histopathological findings. The Journal of clinical endocrinology and metabolism. 2006;91:1410-4 doi:10.1210/jc.2005-2273

33. Trampal C, Engler H, Juhlin C, Bergstrom M, Langstrom B. Pheochromocytomas: detection with 11C hydroxyephedrine PET. Radiology. 2004;230:423-8 doi:10.1148/radiol.2302021678

34. Sörensen J, Valind S, Andersson LG. Simultaneous quantification of myocardial perfusion, oxidative metabolism, cardiac efficiency and pump function at rest and during supine bicycle exercise using 1-11C-acetate PET - a pilot study. Clinical Physiology and Functional Imaging. 2010;30:279-84

35. Sandblom G, Sorensen J, Lundin N, Haggman M, Malmstrom PU. Positron emission tomography with C11-acetate for tumor detection and localization in patients with prostate-specific antigen relapse after radical prostatectomy. Urology. 2006;67:996-1000 doi:10.1016/j.urology.2005.11.044

Author contact

Corresponding address Corresponding author: PET Center, Entrance 86, Uppsala University Hospital, S-75185 Uppsala, Sweden. Phone: +46186110609. Email: jens.sorensenuu.se


Citation styles

APA
Sörensen, J. (2012). How Does the Patient Benefit from Clinical PET?. Theranostics, 2(5), 427-436. https://doi.org/10.7150/thno.3794.

ACS
Sörensen, J. How Does the Patient Benefit from Clinical PET?. Theranostics 2012, 2 (5), 427-436. DOI: 10.7150/thno.3794.

NLM
Sörensen J. How Does the Patient Benefit from Clinical PET?. Theranostics 2012; 2(5):427-436. doi:10.7150/thno.3794. https://www.thno.org/v02p0427.htm

CSE
Sörensen J. 2012. How Does the Patient Benefit from Clinical PET?. Theranostics. 2(5):427-436.

This is an open access article distributed under the terms of the Creative Commons Attribution (CC BY-NC) License. See http://ivyspring.com/terms for full terms and conditions.
Popup Image